Advanced Dental Technology
Using the most advanced dental technology possible is just as important as staying up-to-date on the latest clinical treatment techniques. The Sandia Smiles Dental Center uses the DEXIS digital imaging suite of technologies to combine 2D and 3D imaging, intraoral scanning, diagnostics, and treatment planning into helping our patients get the best possible outcome for their treatment needs.
.png)
Digital Impressions
No more goop, gagging, or discomfort. Using the latest in digital technology, our office can take a highly accurate digital impression of your teeth. The new technology ensures a more accurate impression from the start, resulting in improved treatment and a more comfortable patient experience. Digital impressions give you the ability to see your teeth instantly in 3D, improving communication during the consultation and treatment process.
Our digital impression scanner captures the structure of the teeth and gums using the latest optical technology. The scanner is a compact, hand-held wand. Once the dentist begins the scanning process, it can be stopped and started as many times as necessary.
Your mouth is scanned with a radiation-free laser, and in as little as two to three minutes, renders a digitally perfect, 3D impression of your teeth and soft tissue structures. Through digital software, you'll then be able to follow the progress of the scans including a three-dimensional model of your teeth on our computer screen. Digital impressions can be used for any restorative treatment including crowns, veneers, inlays/onlays, bridges, implants, and orthodontic treatments, including Invisalign®.
Intraoral Digital X-Ray
Intraoral digital x-rays are dental images taken with the film or sensor placed inside the mouth to show detailed views of the teeth and surrounding structures, and include types like bitewing, periapical, and occlusal x-rays.

Intraoral Camera
X-rays are useful, but they don’t show everything happening in your mouth. With an intraoral camera, we can see your teeth and mouth in great detail, allowing us to spot issues like cracks, plaque buildup, cavities near fillings, and signs of wear. Finding problems early makes treatment easier, less invasive, and more affordable.
The intraoral camera also helps you better understand your dental health by giving you a clear visual of your teeth. It is also a valuable tool for documenting conditions for insurance claims, which can support the approval of recommended treatments. This gives everyone involved in your care clear information and helps you make confident, informed decisions about your treatment.

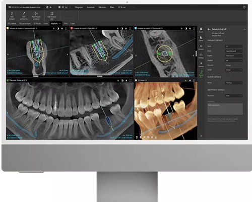
Digital CT Imaging
Digital CT imaging enables your doctor to obtain fast, comfortable, and highly precise dental images, that support an accurate and thorough diagnosis. In addition to its diagnostic benefits, our office uses this advanced 3D imaging data to plan and tailor dental treatments with greater precision. For our patients who require digital CT imaging, we partner with a trusted network of providers to ensure convenient access to this technology and a seamless continuation of care.
